I am waiting. It has been an hour. The last time was 4 hours. Is that normal?
So, while waiting, I shall blog. And a much needed blog, for the ones that are planning for a baby.
Can u guess where I am? I am at Sunfert Fertility Centre. Eh? Don’t worry. I don’t have any infertile issues. My buddy recommended Dr Wong Pak Seng to me. She said that he is both a gynae and a fertility specialist. I have the best of both world when I come to him. I suppose she is right.
Don’t get excited. I’m not pregnant either. I’m going to Italy this June. I shouldn’t be pregnant. At least, I don’t think it’s safe to be pregnant and flying and traveling, right? But we are planning. And planning to try for a baby soon. Of course, that’s why I’m visiting my gynae.
I know that some newly weds, never really plan, go freely and get a baby. Instead, hubby and I wanted to be ready. We wanted to enjoy our first few years and adapt to marriage life before the next season. We want to take it one step at a time.
Recently, a friend asked me when I am planning to try. I said that I will see a gynae first. My friend told me that most couples don’t opt to see a gynae first probably because it’s expensive. The assumption is to visit a gynae after you get pregnant or when you really need help getting pregnant. Hmm…
For hubby and I, we wanted to make sure we are in good health to have a baby. So we made sure both of us went for a check up before trying.
Everyone has a first time. It was our first time. And I didn’t know what to expect. We have to wake up early, drive through the traffic jam to Sunfert. As we walked into the centre, I was impress. It was a huge waiting area and very comfy. We registered and took our number and waited.

When it was our turn, we went into a room to meet the nurse. The nurse asked us several questions about ourselves. Questions like whether I smoke or drink. How often is my menstrual. Do I have menstrual pain. What kind of contraceptives do we take…
Hubby was than ushered to another room to take a sperm test. Nothing to be ashame of. Something that men are advised to do before trying for a baby. Healthy sperm = healthy baby, right?
We have to wait for about 2 hours for the results. So we went off for breakfast.
After what seems like forever, it was our turn to meet Dr. Wong. I seriously didn’t know what to expect. He asked a few questions. Explained to us about the results and it was my turn for my check up. I was ushered by the nurse to the bed. She gave me a towel to cover and I lie down.
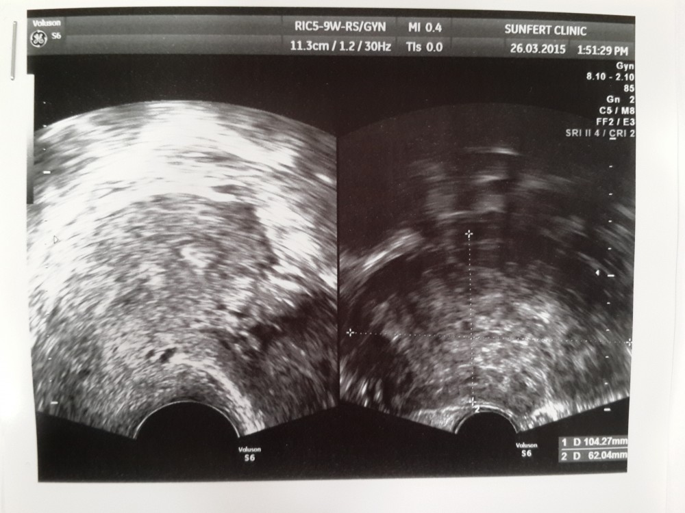
When I was ready, Dr Wong came over to give me an ultrasound.
I was sure I am fine. I am a young lady with no health issues. But to my surprise:
“That is very big! You have a growth,” exclaimed Dr Wong. Then he paused. “No, nothing to worry about. It is nothing cancerous. It is just a growth.”
Well, that didn’t really comfort me. I have a big growth inside of me?
“It’s just a muscle growth.”
Then he asked me to relax. And gave me a scan at ‘you know where’. It’s pretty uncomfortable. The only comforting words after the discovery of the growth is:
“Good! Good! I can see you eggs. Very nice.”
Hmm.. I have nice eggs. That’s good to know. But I have a growth. *sulk*
After the scan, the nurse ushered me back to the consultation room. Dr Wong started explaining to us about the uterus, the eggs and so on. And then, what both of us wanted to know: The Growth.
It is called a fibroid. It is a 10cm fibroid which is very big, bigger than my uterus. The good news is that I can simply remove it with a surgery which Dr Wong is specialize in.

And the better news is that we are so glad that we didn’t try for a baby before the check up. The fibroid is way too big. It would endanger the baby. Not only that, it is below my uterus meaning I can’t give birth naturally. And even with cesarean, it will be very complicated.
Suddenly I am so thankful with all my heart that we went for the check up before trying for a baby. I can’t imagine going through the pain of conceiving with a huge fibroid that can endanger my baby. OH MY!!! We were so close to not go for a check up and just try. I mean, that is what most couples do anyway. What can go wrong, right? But now I know, this can go wrong. A growth that can endanger my baby.
It has been one month since my check up. I am to undergo surgery today at 6pm. Please pray that everything will go smoothly. *nervous*
I am glad I didn’t need to learn it the hard way. If you are planning for a baby, maybe going for a check up first would be an option.
So that’s it. My first gynae experience. Will share more about the surgery and the progress soon.
Cheers,
Mary
hope you are doing good with the surgery!!
I was wondering about your baby planning too before this, coz I see you and your hubby are sooooo lovely together:)
Do get well soon ❤︎ and you are sure to blessed with a big healthy baby !
Thank you so much Haruka!
no worries I had fibroid larger than that ….. Dr wong is really good n his level of patience is very good. I had 2 babies delivered by him. it’s a long wait though everyone when you go for check up but it’s worth it….. I just saw him 2 weeks at sunway he is still the usual earliest dr in the hospital. ….
Hi Kelly! Wow, your fibroid is larger? I am glad you have 2 healthy babies now!
Yes, Dr Wong checked on me at 8am the next day after surgery. I am amazed by his passion and commitment for his work and I’m very thankful that he was recommended to me as my gynae and surgeon.
Hi Mary,
Firstly, congrats on your new born.
I am also planning to do a check first before trying to get pregnant. Would like to ask what are the test details for female and how much does it cost? I’m planning to go to Sunway Hospital for their couple package which includes checks for female hormones and pelvic scan at Rm450. Was wondering if that is sufficient as you did a uterus scan too?
Sorry Yen for replying sooo late. I was so busy with my new born! Mine was only an ultrasound scan (which I assume it’s the uterus scan) and pap smear with consultation which cost about RM300 (first consulation with gynae apparently more expensive). Gynae fees are quite a bomb now especially the popular ones. I believe a uterus scan is quite sufficient but how do we decide what is most sufficient, right? Just choose a package according to your budget and need.